锁骨骨折错位那么大!还能长好吗?
针对儿童锁骨骨折,一般情况下医师只给予简单8字绷带外固定,有时锁骨骨折断端出现比较大的移位,孩子家长就会非常紧张,生怕孩子出现骨折后遗症影响体态,盯着医师反复问:错位这么大!会长好吗?不会有后遗症吧?要不要手术治疗?等等,下面就对相关问题进行解答:
儿童精力旺盛、好动,缺乏自我保护意识,容易造成外伤骨折。锁骨骨折在10岁以下儿童中较为常见,在全身骨折中的占比为6%。
锁骨解剖:

锁骨是介于外侧肩峰和内侧胸骨间的双曲度的扁骨,主要有美观、保护锁骨下结构、肌肉附着点、肩胛骨的支撑结构及对上肢支撑几方面的功能。锁骨中段骨折占所有骨折的80%,而内1/3、外1/3分别占锁骨骨折的5%和15%。锁骨内1/3对深层的臂丛神经、锁骨下静脉、腋静脉、肺尖部等重要器官起到保护作用,该部位骨折可合并严重并发症。

PART 01为什么会锁骨骨折?
间接暴力:如坠床、跌倒等,当跌倒时手掌、肘部或肩部着地,冲击力上传到锁骨而致骨折,多为斜行或横行骨折,其部位多发生于中外1/3处。
直接暴力:如运动冲撞,冲击力直接作用于锁骨处,造成骨折因着力点不同而异,多为粉碎或横行骨折。
PART 02锁骨骨折有什么症状?
1. 有跌伤史。
2. 疼痛:儿童在压迫锁骨或活动肩、臂时可有明显的疼痛主诉。
3. 肿胀、淤血:患儿锁骨骨折后,可能会导致局部的软组织挫伤,容易伴随明显的肿胀,有的还伴有皮下瘀斑。
活动受限:移位性锁骨骨折会伴随上肢活动受限,如穿衣困难,无移位性患儿上肢活动大致正常。
PART 03锁骨骨折该怎么治疗?

首先需了解儿童骨折的特点,儿童时期是人一生中生长发育最旺盛最活跃的阶段,其骨骼系统的生长发育从组织解剖、力学性能、损伤及愈合特点与成年人比有明显的区别。因为儿童的骨膜比较厚,血供丰富,生长愈合能力比成人好,并且因为厚的骨膜具有一定保护作用,不容易形成开放性骨折。儿童骨骼含有机物比成人多,故骨骼弹性大,硬度低,虽然骨折比成人更容易发生,但青枝骨折或移位较小的骨折比较多见。
不能完全以治疗成人骨折的原则和方法来对待儿童骨折。骨折无明显错位、分离,或骨折断端未损伤血管、神经,未刺破肌肉皮肤的均可采取保守治疗。儿童锁骨重塑形能力强,即使出现重叠、成角移位也可给予8字绷带固定制动,通过自身发育塑形,主要目的是恢复锁骨长度并减轻患儿疼痛症状,骨折均可完全骨性愈合。
PART 04什么情况下需要手术治疗?
还是有一部分儿童的锁骨骨折不可避免手术治疗:
1. 开放性骨折,骨折端戳破皮肤。
2. 骨折移位压迫血管、神经或重要脏器出现严重并发症的。
3. 多段性骨折、骨折段严重位移或错位的。
虽然术后骨折愈合与肩关节功能恢复疗效尚可,但是毕竟手术处理需要二次手术再次去除内固定材料,且会形成体表瘢痕,因此儿童锁骨骨折只在必要时采取手术治疗。
病例分享:
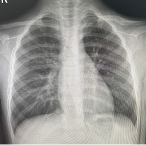
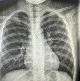
朱某,男,2016-3-15出生,因“跌倒致左肩疼痛伴活动受限2小时”2019年12月12日来我院门诊。检查发现左锁骨区见肿胀、畸形,明显压痛,左肩活动受限。本院X线摄片示:左锁骨骨折,断端明显重叠移位(图1),予以8字绷带外固定制动,定期随访。2020年1月17日复诊述左肩无肿痛,活动基本正常,摄片示:左锁骨骨折,断端对线欠佳,局部明显骨痂形成(图2)。2020年6月8日再次复查摄片示:左锁骨骨折,断端对线可,已骨性愈合(图3)。2023年9月26日再复查摄片示:左锁骨骨折部位已完成塑形,与健侧无明显差异(图4)。

图1

图2 明显见骨痂形成

图3

图4
最后,提醒各位家长朋友,如果孩子怀疑锁骨骨折,应尽快到医院完善相关检查,评估受伤程度,采取最适合的治疗方案,家长不必过度担忧,采用正规治疗后一般预后良好。
文稿:叶智蕾




